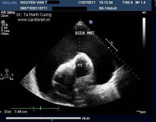
Tràn dịch màng ngoài tim lượng dịch rất nhiều

38697
Photo: Dr. Tạ Mạnh Cường

Tràn dịch màng ngoài tim lượng dịch rất nhiều gây ép xẹp toàn bộ thất phải trên siêu âm

Một số hình ảnh tràn dịch màng ngoài tim lượng dịch rất nhiều làm cho tim như bơi trong nước:

CÁC TIN KHÁC

Hình ảnh huyết khối nhĩ phải ở một bệnh nhân van tim nhân tạo đang dùng thuốc chống đông AVK với INR = 2,5...
Zalo