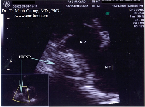
Hình ảnh huyết khối nhĩ phải ở một bệnh nhân van tim nhân tạo đang dùng thuốc chống đông AVK với INR = 2,5...

33564
(pkmc.info) - Nam 27 tuổi, mang van hai lá và van động mạch chủ cơ học, rung nhĩ. Đang được dùng thuốc chống đông loại kháng vitamin K (AVK) với INR = 2.5. Làm siêu âm tim kiểm tra thường quy thấy các van tim nhân tạo hoạt động bình thường. Khi kiểm tra buồng nhĩ phải thì thấy có hình ảnh huyết khối...

 

Khi phóng to hình ảnh, huyết khối được nhìn thấy rõ hơn trong nhĩ phải.      

CÁC TIN KHÁC

Hình ảnh huyết khối nhĩ phải ở một bệnh nhân van tim nhân tạo đang dùng thuốc chống đông AVK với INR = 2,5...
Zalo