pkmc.info
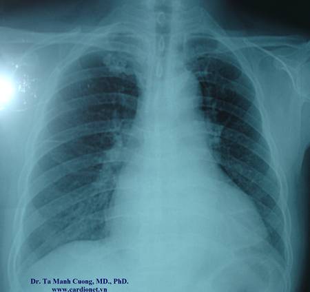
Hình ảnh đám mờ phổi phải khu trú, thành nhẵn ở một bệnh nhân suy tim độ 4. Bên cạnh đó có hình ảnh viêm rãnh liên thùy

Hình ảnh mờ này sau đó được nghĩ đến là tràn dịch màng phổi khu trú trên phim CT ngực. Sau 3 ngày điều trị bằng thuốc trợ tim, lợi tiểu và ức chế men chuyển, chụp lại Xquang tim phổi thẳng thì không còn hình mờ ở phổi phải nữa. Chẩn đoán: tràn dịch màng phổi rãnh liên thùy.